Plaques und Verengungen an den Halsschlagadern
Bluthochdruck führt auch in den Halsschlagadern zur Arteriosklerose (Verkalkung der Gefäßwände). Durch den hohen Blutdruck wird die Gefäßinnenhaut (Endothel) geschädigt. Die Gefäßwand antwortet darauf mit der Einlagerung von Fettkristallen und einer entzündlichen Gegenreaktion. In einem komplexen Prozess entsteht eine Plaque, ein Polster, das in die Gefäßwand hineinragt und das Gefäß verengt. Wenn eine Plaque in der Halsschlagader aufbricht, setzen sich Blutplättchen (Thrombozyten) an. Ein Gerinnsel entsteht, das vom Blutstrom ins Gehirn geschwemmt, dort eine Arterie verschließen kann: Es entsteht eine TIA oder ein Schlaganfall.
Untersuchungen bei Verdacht auf eine Karotisstenose
![]() |
![]() |
![]() |
| Ultraschall | MR Angiographie | CT Angiographie |
Vorsorglich sollten sich Menschen mit Risikofaktoren (Rauchen, Bluthochdruck, Fettstoffwechselstörungen, Übergewicht, Bewegungsmangel, Diabetes, genetische Belastung) ab dem 60. Lebensjahr mittels Ultraschall untersuchen lassen, ob sich an den Halsgefäßen Plaques gebildet haben und eine höhergradige Einengung (Stenose) der Gefäße besteht. Die Beseitigung einer solchen Verengung durch eine Operation oder einen Stent ist aber nur dann notwendig, wenn Zeichen einer flüchtigen Hirndurchblutungsstörung aufgetreten sind (TIA oder kleiner Schlaganfall) und die Gefäßverengung mehr als 70 % beträgt. Auch wenn bei Kontrolluntersuchungen eine rasche Zunahme der Einengung nachweisbar ist, sollte eine Beseitigung der Verengung diskutiert werden.
Wie werden Verengungen in den Halsschlagadern behandelt?
Verengungen der Halsschlagadern verusachen etwa 10-15% der Schlaganfälle. Ist eine TIA oder ein Schlaganfall auf eine verkalkte und eingeengte Halsschlagader zurückzuführen, so ist das Risiko für einen erneuten Schlaganfall groß. In diesem Fall wird eine Operation oder ein Stenting der Verengung empfohlen, wenn die Einengung mehr als 70% beträgt. Bei der Operation erfolgt eine Endarterektomie, d. h. die einengende Verkalkung wird operativ aus dem Gefäß herausgeschält, so dass von diesem Gefäßabschnitt keine weitere Emboliegefahr ausgehen kann. Alternativ kann gegebenenfalls auch ein sogenanntes Stenting erfolgen; dabei wird die verengte Stelle mit einem Ballonkatheter aufgedehnt und mittels einer Gefäßstütze, einem Stent, offen gehalten.
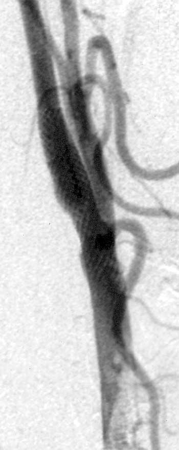
Ballondilatation und Stenting einer hochgradigen Karotisstenose
![]() |
![]() |
![]() |
| Vor Therapie | Stent platziert | Nach Dilatation |
Wird eine Verengung der Halsschlagader im Rahmen einer Screening-Untersuchung entdeckt, so ist eine Operation nur erforderlich, wenn die Gefäßverengung mehr als 70 % beträgt oder bei Kontrolluntersuchungen eine rasche Zunahme der Einengung beobachtet wird. Neue Untersuchungen haben gezeigt, dass eine konsequente Behandlung der Risikofaktoren dazu führt, dass die Gefäßverengung stabil bleibt und asymptomatische Verengungen nur unter den oben genannten Bedingungen operiert werden sollten.






